We first posted about our initial steps along the Bumpy Road on January 21 2019. A mere 1,198 days later, we’re ready and excited to share that our already-much-loved-and-adored baby is on the way and arriving mid-October 2022. We could not be more thrilled.
We want to relish this moment and allow ourselves to feel the love that will come our way with this announcement, but as always, we want to leave some room for sensitivity towards those still on their own bumpy roads and going through often private struggles. We know all too well what it’s like to be around others sharing their joyous news when you so desperately want it to be yours. Despite our own challenges, we’ve always said this has been a when, not an if, but that’s not the case for all. We’ve had the support of MANY and the financial resources to pursue this path relentlessly and will never lose sight of that. We can only hope that by the time our bub has kids of their own (should they choose to/be able to), that their path to doing so will be a little more accessible for people in similar situations to ours.

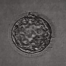
We introduced our surrogate Erin in our most recent post (side note – we knew we were pregnant then, sorry not sorry) and want to reiterate how phenomenal it is that we sit here now with this news despite only matching with her in September last year. The effort has been immense, and if it wasn’t for Erin’s strong and selfless drive to help couples out in this way, we wouldn’t have gotten to this point in the timeframe that we have. Our embryo transfer took place in Toronto on January 24. Erin was super confident from the get-go – manifestations are all the rage these days right? –; we were far more guarded. In fact, we told Erin that we understood if she chose to take a pregnancy test (most surrogates start doing so around four days post transfer), but that we were happy to sit through the agonising two week wait to the blood test to await a more concrete answer. A week after the transfer, both Lachy and I were at work, and saw a message from Erin that said ‘are you sure you guys want to wait for the betas (bloods)?’. We knew. What then came was a magical picture of three sticks with a second line getting that little bit darker each day. We don’t begrudge Erin one bit for this – that moment singlehandedly changed our lives and would have been A LOT to sit on for another week.

*DPT means Days Post Transfer
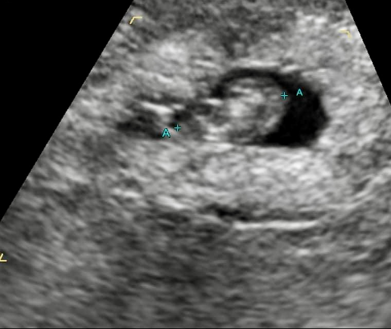
From that point on we’ve gone through every extreme stress an early pregnancy provides – blood tests for HCG levels, a heartbeat scan and two further scans before reaching that 12-week milestone. A hefty 17-hour time difference and an all-encompassing anxiety of whether this was real and actually happening has made for a rather tumultuous past few months. But that is certainly not a complaint…this is what parenting is, is it not? In fact, Erin doesn’t really know this, but any time she told us she felt nauseous or spewed from the smell of tomato sauce, we did a giddy little dance, because that told us bub was well and truly still going strong.



Erin has been, and continues to be, such a champion throughout all of this. Her ‘we got this’ mentality has been a great sense of relief for us. We don’t necessarily want to wish these next 5ish months away (we plan to sleep a lot and bask in the quiet while it remains), but our hearts burst when we envisage our time in Canada in October and how special that will be.

We’re 17 weeks in and still pinching ourselves. The fact that this is happening still doesn’t feel entirely real. But we have fleeting moments here and there where it hits us that we’re going to be Dads and we’re overcome with so many emotions. In one of our earlier posts, we penned a letter to our hoped-for bub (another manifestation perhaps?), and we’ll wrap this post up with one to our fast-growing-very-much-on-the-way-bub:
To our future little one,
You have absolutely no idea how much you are already loved by both your Dads and everyone around them. That will never, ever change.
We cannot wait to meet you soon. Please be nice to Erin in the meantime.
All our love,
Your Dads.
*Marjoy is our chosen fused surname that bub will have. We love it.

How absolutely Amazing ❤️ Such wonderful news ….sending much love xx
LikeLiked by 2 people
How exciting. I’m so thrilled for you xx
LikeLiked by 2 people
You will make fantastic dads. I’m so happy for you both.
LikeLiked by 2 people
Just need to say, apart from the congratu-bloody-lations, that I LOOOOOOOOVE this surname. I hope more people do this in the future. I’ve not heard of anyone doing it! Mollie xoxo
LikeLiked by 2 people
Thanks Mollie! We really love it too and are so excited for the months ahead xx
LikeLiked by 1 person